19 年
手机商铺
公司新闻/正文
288 人阅读发布时间:2024-10-21 09:22
随着医学领域和生物技术的迅猛演进,对细胞进行深入且精准的研究,已然成为攻克各类疑难病症、推动再生医学蓬勃发展的关键要素。
干细胞,以其卓越的自我更新能力和多向分化潜能,恰似生命起源的神秘密码,承载着治愈诸多顽疾以及实现组织再生的宏伟希望,毫无争议地成为科学界瞩目的焦点。而肝细胞,作为肝脏这一至关重要器官的基本构成单元,在肝脏疾病的研究、药物研发以及肝脏再生治疗等关键领域同样具备不可估量的科学价值。
然而,从错综复杂的生物样本中高效地获取高质量的干细胞和肝细胞,无疑是一项极具挑战性的任务。瑞沃德酶解试剂盒,采用优化的复合酶配方,可温和高效地解离组织获取原代肝细胞与干细胞。
大小鼠肌肉组织温和酶解试剂盒
瑞沃德大小鼠肌肉组织温和酶解试剂盒可以将成年或新生大小鼠肌肉组织制备成单细胞悬液,获得成肌细胞与肌卫星细胞(MuSCs,Muscle stem cells,肌肉干细胞)。
工作流程

▲ 点击可查看大图
MuSCs流式检测

▲ 点击可查看大图
检测结果显示细胞活率为88.89%,MuSCs细胞群占比(CD34+α7 integrin+)为1.87%。
大小鼠肝细胞提取试剂盒
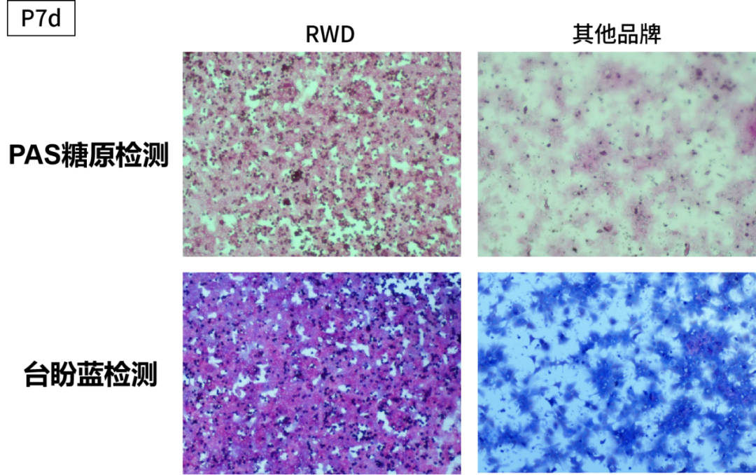
瑞沃德大小鼠肝细胞提取试剂盒,通过在体灌注能够获得更多活率高且碎片少的肝细胞。
工作流程

▲ 点击可查看大图
原代肝细胞培养

对小鼠进行二步灌注法在体灌注提取肝细胞,能够满足下游原代肝细胞培养实验,贴壁生长状态良好。
人脐带组织温和酶解试剂盒
瑞沃德人脐带组织温和酶解试剂盒可以将人脐带组织制备成单细胞悬液,获得间充质干细胞(MSCs,Mesenchymal Stem Cells)。
工作流程

▲ 点击可查看大图
MSCs流式检测与细胞培养

▲ 点击可查看大图
鉴定MSCs表位占比(CD73+CD90+CD45-CD34-):57.82%*93.09%≈53.82%

人脐带组织酶解后的单细胞悬液进行细胞培养,P0-8d开始贴壁,传代培养后细胞生长能力明显增强,细胞呈现均一的长梭形。
订购信息

组织酶解试剂盒搭配仪器使用省力省心,瑞沃德新推出双通道单细胞悬液制备仪,试剂盒搭配该仪器解离出的单细胞悬液,能保持较好的细胞活率、细胞产量,以及低结团率和碎片率。
