深圳市瑞沃德生命科技股份有限公司品牌商

19

手机商铺

qrcode
商家活跃:
产品热度:
  • NaN
  • 0
  • 1
  • 2
  • 1
品牌商

深圳市瑞沃德生命科技股份有限公司

入驻年限:19

  • 联系人:

    瑞沃德

  • 所在地区:

    广东 深圳市 南山区

  • 业务范围:

    实验室仪器 / 设备、试剂、耗材

  • 经营模式:

    生产厂商 经销商 代理商

在线沟通

技术资料/正文

石蜡切片不佳,这些补救措施你知道吗?

624 人阅读发布时间:2020-12-31 12:00

之前和大家分享了如何切出符合自己需求的石蜡切片,那切片不佳是什么原因造成的?常见切片问题有哪些?如何补救?

一、蜡带侧弯——问题分析及补救措施

技术资料图片1

1、刀口锋利不一,局部产生差异。可移动刀片或改用新刀口。
2、切片刀未覆盖整个蜡块。需调整刀口位置至刀片能切到整个蜡块。
3、蜡块左右硬度不一致。尽量使用锋利的新刀口,减轻干扰。
4、组织未居蜡块正中央。可用刀片切去部分石蜡使组织居中,或重新包埋。

二、无法连片,切不出蜡带——问题分析及补救措施

技术资料图片2

1、空气干燥。可通过加湿器或哈气解决。
2、切片机回缩功能未开启。需开启回缩功能。
3、材料边缘留蜡太少。需重新包埋,注意组织尽量在正中央。
4、刀的角度不合适。可调整余隙角/倾角。

三、切片卷起呈圆筒状——问题分析及补救措施

技术资料图片3

1、蜡块冷冻过度。可适度升温,用毛笔将蜡片摊开压住,切2至3片即成带。
2、石蜡过硬。可加软蜡。
3、刀口太钝。需换新刀口。
4、刀的倾角太大。需减小倾角

四、切片粘刀或皱褶——问题分析及补救措施

技术资料图片4

1、蜡块温度偏高。可适度降温。
2、石蜡过软。需加强冷冻。
3、刀口上留有一层石蜡。需清扫刀片,可用刀片刮蜡,二甲苯擦拭刀口。
4、刀口太钝。需换新刀口。
5、组织含脂肪多。需在前期进行脱脂处理,包埋时挤压脂肪。

五、切片纵裂——问题分析及补救措施
   
技术资料图片5

1、刀有缺口。需移动刀口。
2、石蜡中含有杂质。需清除杂质,更换石蜡。
3、刀口留有碎屑或细丝。可清洁刀口。
4、组织太硬。可将蜡块入水浸泡软化。
5、组织内可能有止血钉。需抠出止血钉。

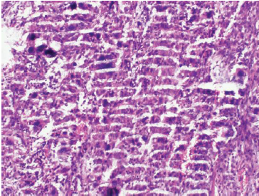
六、切片有颤纹/梯田——问题分析及补救措施

技术资料图片6

1、锁杆或零件松动。需拧紧锁杆或零件。
2、刀口倾角偏大。可适度减小倾角。
3、标本伸出太长。可适度回缩,前移刀架。
4、蜡块没夹紧。需清洁蜡块、夹头。
5、组织偏硬。需进行表面脱钙,缓慢切片。
6、切片机内部磨损。需维护或更换新机。

七、切片厚薄不均——问题分析及补救措施

技术资料图片7

1、切片机磨损。需维护或更换切片机。
2、用力不当。可调整用力强度。
3、锁杆或零件松动。需拧紧锁杆或零件。
4、蜡块过硬。可将石蜡块浸泡在水中软化。
5、温度变化大。需重新冷冻蜡块。

八、组织发生裂隙破碎或崩脱——问题分析及补救措施

技术资料图片8

1、脱水处理不当。需重新脱水。
2、有透明剂残留。应增加浸蜡时间,重新包埋。
3、由于脱水机和透明剂的影响,组织变硬发脆。可调整脱水程序。
4、材料太硬或太大。可脱钙,分开包埋。

技术资料图片9


瑞沃德轮转式切片机,全自动智能化操作,简化病理制片流程,让切片更智能、精准、高效、安全。并有完整解决方案,从设备到耗材,配套齐全,提升你的制片效率。
 
资料格式:

石蜡切片不佳,这些补救措施你知道吗?.pdf

查看详细文档
推荐产品
轮转式切片机/轮转式石蜡切片机(S712/S710S/700S/700A)瑞沃德
询价

上一篇

动物手术中,如何避免长时麻醉的痛?

下一篇

【前沿研究进展】如何用“光”治疗疼痛?

我的询价